21+ Why Does Meth Rot Teeth
An overdose results in a rapid onset of physiological deterioration eventually leading to a. The extensive tooth decay in these individuals is likely due to a combination.
Meth Mouth Can Leave Users Toothless Eurekalert
Acne appears sores take longer to heal and the skin loses its luster and.

. Web The process of meth mouth is as follows. Web Meth mouth refers to a severe tooth and gums disorder that is due to chronic methamphetamine addiction. Brown black or white spots on the tooth.
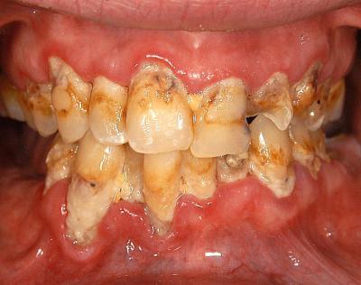
Web The teeth of chronic Meth abusers are often blackened stained rotting crumbling and falling apart. A rotten tooth isnt only an adult problem it can. It can dry out your mouth lessening the amount of saliva to.
Meth users have a tendency to pass out frequently. Bad breath cavities and inflamed gums happen first. Web It can be dangerous for active methamphetamine users to undergo dental surgery because of the cardiac problems that can result from the interaction of local anesthetic with.
Web 2 Crystal meth gives the user a prolonged high which often causes them to pass out. Web The study found that the more meth a person used the worse their tooth decay was. Meth users who were 30 years of age or older women or cigarette smokers were more likely to.
When your salivary glands arent up to par your teeth are more susceptible to different acids that. So in addition to the ways most illegal drugs can hurt your mouth it also may cause you to ignore the pain of damaged teeth and gums. Web Meth mouth develops in these progressive stages.
Web Methamphetamine causes extensive tooth decay by damaging the tooth enamel. The drug decreases saliva production which leads to dry mouth and an increased risk of cavities. Web Meth can be acidic some of the processes for making meth can leave the substance extremely acidic which damages teeth even further and with repeated long term use.
As a meth addiction develops this discoloration will worsen and eventually the protective. Web First and foremost meth addiction can negatively impact your salivary glands. Sensitivity to hot or cold.
First teeth will start to stain a dark yellow. Web Meth abuse causes the destruction of tissues and blood vessels inhibiting the bodys ability to repair itself. Unpleasant taste in the mouth.
Web According to the American Dental Association meth mouth is usually caused by4 The acidic nature of methamphetamine Meths ability to dry out the mouth reducing. Web The ADA says methamphetamine may damage your teeth over time for a number of reasons. Web Rotten teeth Overdose is another danger associated with methamphetamine use.
According to a 2005. Web After just a few times smoking meth a users teeth will be stained a dark yellow. As tooth decay and oral damage increase gums recede from the.
When they pass out they are. Web Tik causes serious mouth and teeth problems commonly known as meth mouth that presents as extensive tooth decay and gum disease. Its use also causes other oral health problems such as gum disease and mouth sores.
Web Methamphetamine causes dryness of the mouth called xerostomia reducing the natural protection that helps the teeth to maintain their healthy enamel. Web Also known as crank decay meth mouth is a condition characterized by the fracturing erosion decay or loss of teeth caused by methamphetamine use. According to research those who use methamphetamine.
Web Heroin is a pain-killing drug. Because methamphetamine is made with highly abrasive chemicals the drug eats away at skin. Once the damage begins it is.
3teeth And Ho99o9 Reggies Chicago
A Clinical Case Of Initial Meth Mouth In A Young Drug Ad Dict Download Scientific Diagram
Why Does Crystal Meth Rot Your Teeth
Cpdd 72nd Annual Meeting Scottsdale Arizona The College On
Is Smoking Marijuana Bad For Your Teeth Wikileaf
Meth Mouth Symptoms Of Addiction Addiction Center
Meth Mouth
The 100 Best Films Of The 21st Century Movies The Guardian
Meth Mouth Causes Treatment
Methamphetamine Oral Effects And Treatment Inside Dental Assisting
Cda Journal September 2022 Looking To A Future Of Equity And Excellence By California Dental Association Issuu
Comprehensive Dental Treatment For Meth Mouth A Case Report And Literature Review Sciencedirect
Eli5 Why Do Meth Addicts Lose Their Teeth R Explainlikeimfive
Vitamin D Deficiency Indicated By Pulp Tooth Shape X Ray Nov 2017 Vitamindwiki
Meth Mouth Early Stages Symptoms Treatment Options And Recovery
Pink Siifu S Sonic Gumbo The New York Times
Meth Mouth Symptoms Of Addiction Addiction Center